A "medical breakthrough" is made by a 17-year-old CS student


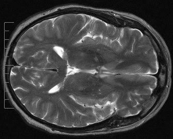
Dragos Serban, age 17, an 11-th Grader at the National High School of Computer Science in Constanta, Romania, made news this week with his invention of a system to detect whether or not a brain tumor is malignant, based on information in an MRI scan, without the need for performing an invasive and painful biopsy.

His algorithm yields an immediate decision, 'malignant' or 'benign', shortcutting the usual month-long waiting time for lab analysis of a biopsy tissue-sample: instead it mathematically analyzes 13 characteristics of the texture context in an MRI image.


Dragos tested his result using a large public database of patient MRI images and determined that his algorithm had a 90-percent accuracy-rate.

Dragos was motivated to undertake his study by having personally lived through the month-long terror of awaiting a cancer diagnosis.

When he was 15 he developed a tumor in his left leg.

"It was swollen and cold, and I did not know what was happening. I had a biopsy operation, then I lived with a month of fear, uncertainty and the threat of a fatal disease."


In Dragos' case, he was lucky: his tumor turned out to be benign, but the experience left him with an empathy for what people go through in such a situation. And when a tumor actually is malignant, delaying treatment for a month can be a life-or-death matter.

ALLAN CRUSE
24 FEB 2015